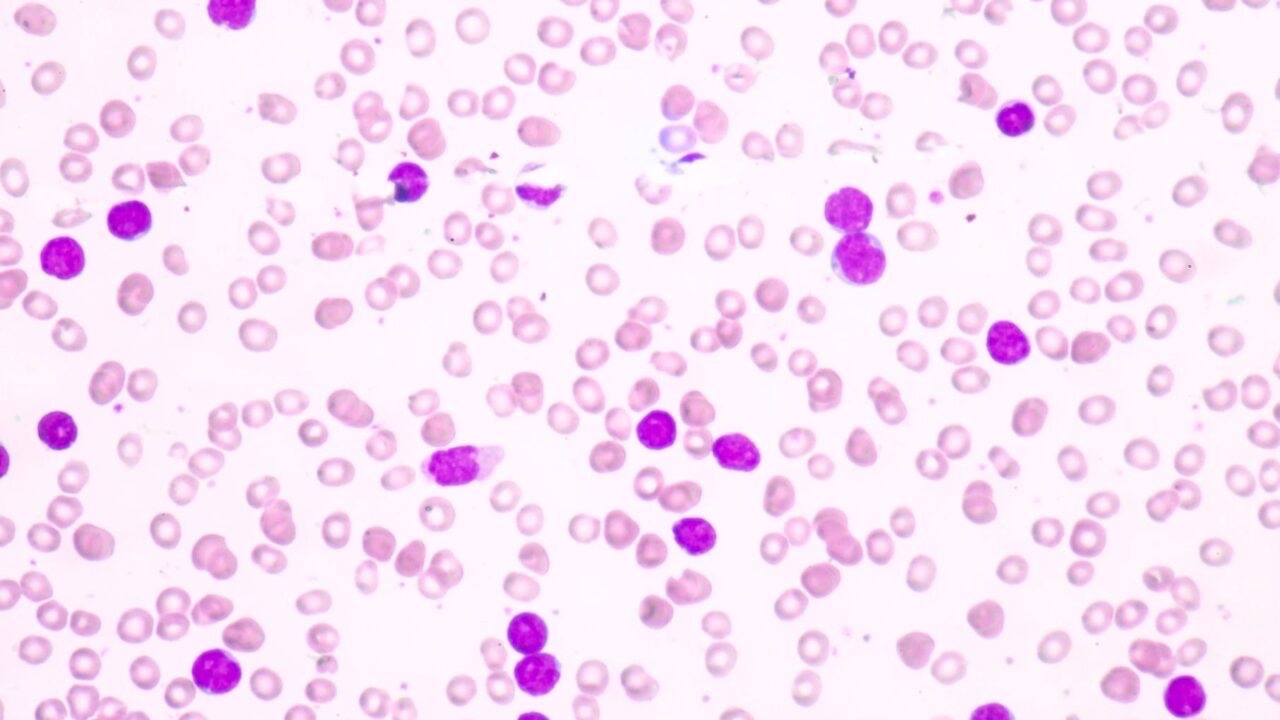
USC Researchers Find Genetic Variant Contributing to Disparities in Childhood Leukemia Risk April 18, 2024