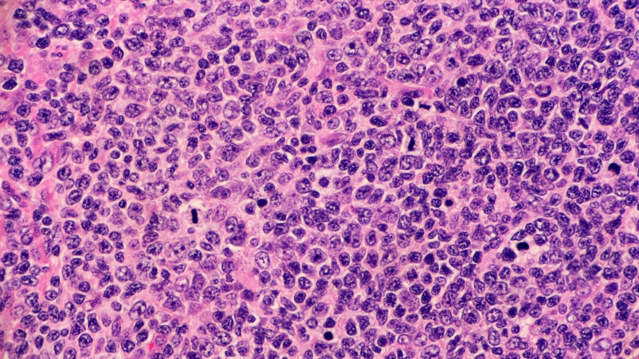
Revised MALT-IPI: A New Predictive Model that Identifies High-risk Patients with Extranodal Marginal Zone Lymphoma October 6, 2022