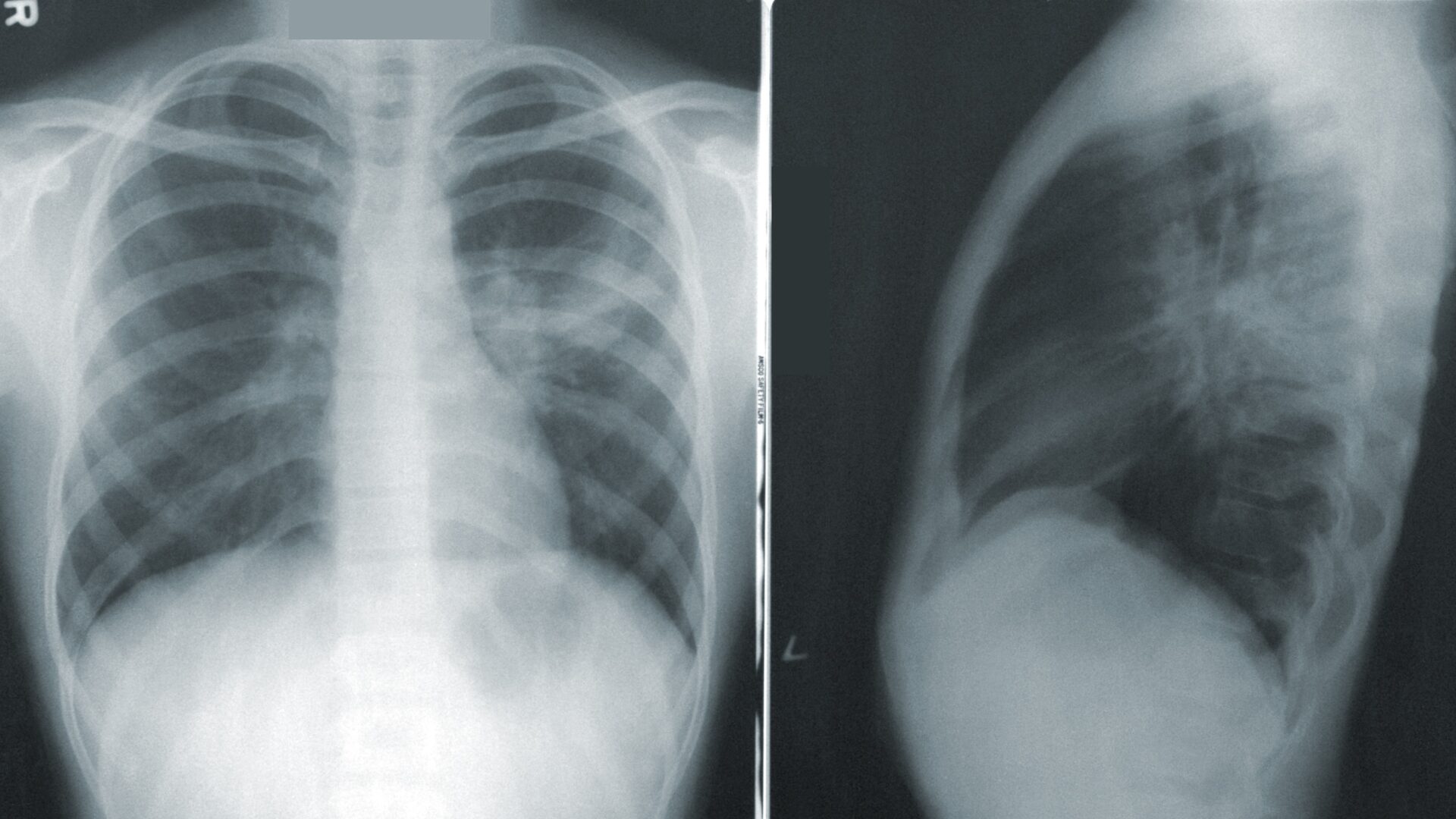
Predicting Survival: Chest X-Rays Provide Vital Insight for Hospitalized COVID-19 Patients June 22, 2023